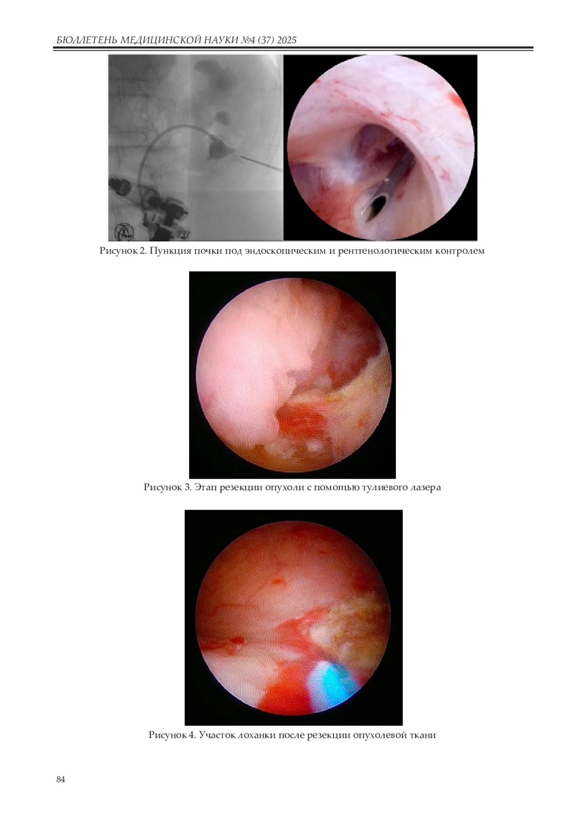
Уротелиальный рак полостной системы единственной почки встречается крайне редко и при возможности таким пациентам показана органосохраняющая операция. К числу подобных методов относится перкутанная лазерная или биполярная резекция новообразования. Рассматривается группа пациентов, которым было выполнено оперативное вмешательство по данной методике на базе СПб ГБУЗ КБ Св. Луки и их динамическое наблюдение как в раннем послеоперационном периоде, так и в более позднем, с оценкой возможных рецидивов после паллиативного лечения
Идентификаторы и классификаторы
Злокачественные новообразования полостной системы почки являются довольно редким заболеванием, их частота составляет приблизительно 5–10% от опухолей почек [1]. Наблюдаемый за последние 5 лет рост заболеваемости мочевыделительной системы и предстательной железы подчеркивает актуальность данной проблемы [9]. Рак полостной системы единственной почки встречается крайне редко, на его долю приходится 0,5% от всех заболеваний мочевыделительной системы (МВС). Он является абсолютным показанием к органосохраняющему лечению, при возможности его проведения, в связи с чем рассматриваются менее инвазивные методики оперативного лечения пациентов со злокачественным новообразованием полостной системы единственной почки. Одним из методов нефросохраняющей операции является перкутанная лазерная или биполярная резекция новообразования единственной почки. Пациенты с единственной почкой встречаются после перенесенной нефрэктомии в прошлом, с врожденной гипоплазией, аплазией, агенезией почки. После диагностики опухоли полостной системы единственной почки возникает необходимость в определении оптимального способа оперативного лечения и выбора доступа (перкутанная, трансуретральная, лапароскопическая резекция, нефруретерэктомия с переводом пациента на диализ).
Если у вас возникли вопросы или появились предложения по содержанию статьи, пожалуйста, направляйте их в рамках данной темы.
Список литературы
1. Siegel R.L., Miller K.D., JemalА. Cancer statistics. CA Cancer J Clin. 2017; 67(1): 7-30. DOI: 10.3322/caac.21387
2. Комяков Б.К., Идрисов Ш.Н., Новиков А.И. и др. Оперативное лечение эпителиальных опухолей верхних мочевыводящих путей. Урология. 2004; 4: 12-15.
Komyakov B.K., Idrisov Sh.N., Novikov A.I., et al. Surgical treatment of epithelial tumors of the upper urinary tract. Urology. 2004; 4: 12-15. (In Russ.).
3. Francisco Daels, Mariano S González, Federico Garcia Freire, Alberto Jurado, Oscar Damia, Percutaneous lithotripsy in Valdivia-Galdakao decubitus position: our experience. Journalof Endourology. 2009; 23(10). DOI: 10.1089/end.2009.1526
4. Комяков Б.К., Гулиев Б.Г., Карлов П.А., Эль-Атар Т. Органосохраняющие операции при опухолях верхних мочевыводящих путей. Онкоурология. 2007; 2: 26-29. DOI: 10.17650/1726-9776-2007-0-2-26-29
Komyakov B.K., Guliyev B.G., Karlov P.A., El-Atar T. Organ-preserving surgeries for tumors of the upper urinary tract. Oncourology. 2007; 2: 26-29. 10.17650/1726-9776-2007-0-2-26-29. (In Russ.). DOI: 10.17650/1726-9776-2007-0-2-26-29.InRuss
5. Мосоян М.С., Шелипанов Д.А., Гилев Е.С. Опухоли верхних мочевыводящих путей: учебное пособие. Санкт-Петербург: Санкт-Петербургский государственный экономический университет. 2022: 23 с. ISBN: 978-5-7310-5777-6
Mosoyan M.S., Shelipanov D.A., Gilev E.S. Tumors of the Upper Urinary Tract: Textbook. Saint Petersburg: Saint Petersburg State University of Economics. 2022: 23 p. (In Russ.). ISBN: 978-5-7310-5777-6
6. Акопян Г.Н., Аляев Ю.Г., Газимиев М.А., Дымов А.М., Чернов Я.Н., Перкутанное удаление уротелиального рака верхних мочевых путей. Медицинский вестник Башкортостана. 2017; 12 № 3 (69): 66-70.
Akopyan G.N., Alyaev Yu.G., Gazimiev M.A., Dymov A.M., Chernov Ya.N., Percutaneous removal of urothelial carcinoma of the upper urinary tract. Medical Bulletin of Bashkortostan. 2017; 12 No. 3 (69): 66-70. (In Russ.).
7. Arthur D. Smith, Glenn Preminger, Gopal Badlani, Louis R. Kavoussi. Smith’s Textbookof Endourology, 3rd Edition, 2012. DOI: 10.1002/9781444345148
8. Мартов А.Г., Ергаков Д.В., Андронов А.С. Уротелиальный рак верхних мочевыводящих путей: возможно ли удаление опухоли единым блоком? Онкоурология. 2022; 18(3): 123-127. DOI: 10.17650/1726-9776-2022-18-3-123-127
Martov A.G., Ergakov D.V., Andronov A.S. Urothelial carcinoma of the upper urinary tract: is it possible to remove the tumor in a single block? Oncourology. 2022; 18(3): 123-127. (In Russ.). DOI: 10.17650/1726-9776-2022-18-3-123-127
9. Севрюков Ф.А., Милинин О.Ю., Елинин Ю.А. Особенности заболеваемости населения Нижегородской области, Приволжского федерального округа и Российской Федерации болезнями мочеполовой системы и предстательной железы. Социальные аспекты здоровья населения. 2011; 6(22): 8.
Sevryukov F.A., Milinin O.Yu., Yelinin Y.A. Features of morbidity among the population of the Nizhny Novgorod region, the Volga Federal District, and the Russian Federation with diseases of the genitourinary system and prostate. Social aspects of population health. 2011; 6(22): 8. (In Russ.).
Выпуск
Другие статьи выпуска
Литературный обзор посвящен одной из актуальных проблем, касающихся распространенности, клинических проявлений и диагностики хламидийной инфекции (ХИ) у беременных. У инфицированных женщин заболевание может привести к серьезным осложнениям: сальпингит, воспалительные процессы в органах малого таза, эктопическая беременность и трубное бесплодие. Особую опасность представляют повторные эпизоды ХИ, многократно увеличивающие вероятность развития трубного бесплодия из-за прогрессирующего повреждения репродуктивной системы. ХИ во время гестации без проведенного лечения ассоциирована с широким спектром негативных последствий для матери и плода, способствует развитию осложнений: спонтанные преждевременные роды, дородовое излитие околоплодных вод, задержка роста плода и внутриутробное инфицирование.
Цель. Анализ современных данных по частоте, патогенетическим механизмам, диагностике, профилактике и лечению кардиотоксичности у пациентов с колоректальным раком, получающих противоопухолевую терапию, с акцентом на существующие пробелы знаний и перспективные направления исследований.
Материалы и методы. Проведен систематический обзор отечественной и зарубежной литературы последних лет (PubMed, Scopus, eLIBRARY, Google Scholar), включающий публикации по теме кардиотоксичности при раке толстой кишки, современные международные и национальные клинические рекомендации, метаанализы, регистровые исследования и рандомизированные клинические испытания. Проанализированы механизмы кардиальных осложнений, современные подходы к их диагностике, мониторингу, профилактике и терапии.
Результаты. Кардиотоксичность противоопухолевой терапии при раке толстой кишки характеризуется высокой клинической значимостью и вариабельностью проявлений, от субклинических форм до жизнеугрожающих состояний. Диагностика осложнена низкой чувствительностью традиционных инструментальных и лабораторных методов, отсутствием валидированных алгоритмов стратификации риска и единых критериев для онкологических больных. Профилактика и лечение осложнений базируются на коррекции факторов риска, динамической модификации терапии, фармакологической поддержке, однако доказательная база остается ограниченной, а долгосрочные результаты малоизучены.
Заключение. Необходимы разработка персонализированных протоколов стратификации риска, совершенствование методов ранней диагностики, валидация новых биомаркеров и инструментальных технологий, а также проведение многоцентровых исследований эффективности современных стратегий профилактики и терапии кардиотоксичности у пациентов с колоректальным раком. Решение обозначенных проблем позволит повысить эффективность противоопухолевой терапии и улучшить прогноз больных.
Доброкачественная гиперплазия предстательной железы (ДГПЖ) – ведущая причина симптомов нижних мочевых путей (СНМП) у мужчин старшего возраста и существенная нагрузка на систему здравоохранения.
Цель. Сопоставить эффективность и безопасность основных методов оперативного лечения ДГПЖ (трансуретральная гиперплазия предстательной железы (ТУРП), гольмиевая лазерная энуклеация простаты (HoLEP – Holmium Laser Enucleation of the Prostate), эмболизация простатических артерий, «офисные» MIST-технологии), а также обозначить место искусственного интеллекта (ИИ) в персонализированном выборе вмешательства.
Материалы и методы. Авторами проведен аналитический обзор рандомизированных исследований, метаанализов и руководств; ключевые исходы – IPSS, Qmax, качество жизни, осложнения, сохранение сексуальной функции, повторные вмешательства (горизонт ≥12 мес.).
Результаты. Биполярная ТУРП по эффективности не уступает монополярной при лучшем профиле безопасности. HoLEP демонстрирует долгосрочную устойчивость эффекта и меньшую частоту повторных операций, включая железы большого объема. Эмболизация простатических артерий (ЭПА) обеспечивает клинически значимое облегчение симптомов в опытных центрах, но в сравнительных исследованиях обычно уступает ТУРП по величине эффекта. Среди MIST доказана эффективность и органосберегающий профиль Rezūm и PUL/UroLift с высокой вероятностью сохранения эякуляции. Подходы с использованием искусственного интеллекта позволяют объединять клинико-инструментальные признаки для прогнозирования исходов и персонализированного выбора метода предстоящей операции.
Заключение. ТУРП и HoLEP сохраняют статус высокоэффективных стандартов. ЭПА – альтернатива при тщательной селекции и междисциплинарной компетенции. Офисные MIST – опция для пациентов, ориентированных на сохранение сексуальной функции и быструю реабилитацию. Интеграция ИИ обещает повысить точность стратификации и качество решений.
В настоящее время фокус в разработках биоматериалов для регенерации костной ткани сместился на реконструкцию матриц/каркасов, имитирующих естественное костное микроокружение и стимулирующих появление сгустков крови.
Цель. Анализ современных научно-исследовательских работ, посвященных исследованию влияния сгустков крови и биоматериалов, содержащих природные полисахариды с прокоагулянтной (in vitro-активация коагуляции плазмы/крови с появлением сгустка) и/или гемостатической (in vivo-остановка экспериментального кровотечения) активностью/-тями, на восстановление дефектов костной ткани.
Материалы и методы. Литературный обзор основан на анализе данных из баз eLibrary. ru, PubMed, Google Scholar. Ключевые слова, используемые для проведения поиска: «сгусток крови» (blood clot), «природные полисахариды» (native polysaccharides), «биоматериалы» (biomaterials), «водорослевые полисахариды» (algal polysaccharides), «растительные полисахариды» (plant polysaccharides), «гликозаминогликаны» (glycosaminoglycans), «остеокондукция» (osteoconduction), «остеоиндукция» (osteoinduction), «регенерация кости» (bone regeneration), «прокоагулянтная активность» (procoagulant activity), «гемостатическая активность» (hemostatic activity). Даты запросов – май-сентябрь 2025 г., глубина запроса – 2021-2025 годы.
Результаты. Для заживления костной ткани показаны важность наличия сгустков крови в месте дефекта, а также активация биоматериалами коагуляции крови или сокращение времени экспериментального кровотечения. Новые экспериментальные данные демонстрируют: эффективность биоматериалов, содержащих полисахариды водорослевого (альгинат), растительного (целлюлоза, крахмал), животного (хитин/хитозан, гиалуроновая кислота) происхождения, сочетающих прокоагулянтную/гемостатическую и остеогенную активности в исследованиях при восстановлении повреждений костной ткани; перспективность разработок биоматериалов, содержащих водорослевые фукоидан или каррагинан с остеогенной активностью, в сочетании с прокоагулянтно/гемостатически активным хитозаном.
Заключение. Для оптимизации остеогенных свойств композитных биоматериалов разных форм возможно использование некоторых полисахаридов природного происхождения с прокоагулянтной и/или гемостатической активностью.
В обзоре рассмотрены возможности применения VR-технологий в диагностике, терапии и реабилитации пациентов с расстройствами шизофренического и аффективного спектров. Анализ проведен на основе 17 исследований, отобранных из 1527 публикаций в базах данных MEDLINE, Semantic Scholar и РИНЦ (2005–2024 гг.). VR-среды показали эффективность для оценки когнитивных нарушений, включая дефициты внимания, памяти и пространственной ориентации. В терапии VR-интервенции способствовали снижению продуктивной симптоматики и социальной тревожности. Реабилитационные программы улучшали социальные и профессиональные навыки, а также когнитивные функции. Основные проблемы современных исследований включают гетерогенность методологий, малые выборки, отсутствие долгосрочного наблюдения и недостаточную оценку побочных эффектов.
Представлен клинический случай ликвидации рецидива механической желтухи при нерезектабельной опухоли Клацкина с применением паллиативной транслюминальной фотодинамической терапии. Пациенту с нерезектабельной опухолью Клацкина, осложненной рецидивом механической желтухи с развитием печеночно-почечного синдрома, удалось с помощью паллиативной транслюминальной фотодинамической терапии восстановить просвет конфлюенса желчевыводящих протоков, после чего провести чрескожное чреспеченочное наружно-внутреннее дренирование желчных протоков и купировать клинику обтурационной желтухи, а так же достичь продолжительности жизни после операции у пациента с местно распространенным процессом, инвазией крупных артериальных стволов 3,5 месяца без рецидивов клиники механической желтухи.
Каротидная мембрана является важной, но часто недиагностируемой патологией у пациентов с криптогенными инсультами, особенно у пациентов молодого и среднего возраста. В данной публикации описывается хирургическое лечение редкой аномалии внутренней сонной артерии (ВСА) у 50-летнего пациента, перенесшего два криптогенных инсульта в течение четырех месяцев. При обследовании общепринятых факторов риска развития ишемического инсульта у пациента не было выявлено, а МСКТ-АГ и гистологическое исследование интраоперационного материала подтвердило диагноз каротидной мембраны. Пациенту была выполнена КЭЭ с аутовенозной пластикой ВСА. Этот клинический случай подчеркивает важность рассмотрения каротидных заслонок в дифференциальной диагностике инсультов у молодых пациентов с повторными однополушарными инсультами без факторов риска и подтверждает необходимость хирургического лечения для профилактики повторных инсультов.
Введение. В настоящее время продолжает увеличиваться количество больных с грыжами передней брюшной стенки и в этой связи внимание хирургов и производителей все больше занимают поиски идеального протеза. Наряду с синтетическими материалами в виде полипропиленовых сеток, внимание исследователей обращается к герниопротезам биологического происхождения, которыми может стать биополимер на основе бактериальной целлюлозы (БЦ).
Цель работы. Изучить возможности протезирования и формирование ответной реакции тканей при экспериментальной имплантации бактериальной целлюлозы для закрытия острого мышечно-апоневротического дефекта передней брюшной стенки.
Материалы и методы. Исследование включало 60-суточный период имплантации материала на основе БЦ по методике «sublay» в острый мышечно-апоневротический дефект передней брюшной стенки у 5 кроликов. В послеоперационном периоде оценивалось визуальное состояние передней брюшной стенки, проводились тензометрический, патоморфологический и морфометрический методы исследования.
Результаты. Спустя 60 суток после закрытия острых мышечно-апоневротических дефектов передней брюшной стенки с помощью пластин влажной БЦ инфекционно-воспалительных осложнений не отмечено. Имплант полностью закрывал дефект, был плотно фиксирован к его краям и находился в капсуле, подлежащие петли кишечника не были припаяны к зоне имплантации. Удаленный фрагмент не разрывался при проведении тензометрии. По рассечению капсулы установлено, что БЦ потеряла жидкий компонент, значительно уплотнилась и имела вид эллипса белого цвета шириной до 1 см.
Заключение. Бактериальная целлюлоза является перспективным биоматериалом для создания протеза с целью армирования острого мышечно-апоневротического дефекта в области передней брюшной стенки.
Цель исследования. Оценить физическое развитие детей младшего школьного возраста города Барнаула.
Материалы и методы. В рамках проспективного кросс-секционного исследования было обследовано 759 учащихся начальных классов г. Барнаула во время регулярных профилактических осмотров. Основные методы исследования включали антропометрические измерения с последующей оценкой показателей физического развития и степени их гармоничности. Исследуемая когорта была стратифицирована по половозрастным характеристикам.
Результаты. В ходе исследования установлено, что у 95,12% обследуемых детей показатели физического развития соответствовали возрастной норме (варианты: выше среднего, средний, ниже среднего). Патологические отклонения в физическом развитии были зарегистрированы у 4,88% школьников. Среди нарушений гармоничности развития преобладал избыток массы тела (28,1% случаев), тогда как дефицит массы тела наблюдался у 15% обследованных.
Цель. Оценка возможностей портативного тепловизора «InfiRay» в визуализации температурных аномалий у пациентов с хроническими заболеваниями вен (ХЗВ).
Материалы и методы. Исследование проводилось на базе Поликлиники ФГБОУ ВО АГМУ Минздрава России «Консультативно-диагностический центр» (г. Барнаул). В проспективное описательное исследование включено 14 пациентов с ХЗВ (6 мужчин и 8 женщин) в возрасте от 26 до 75 лет. Всем пациентам проводилось термографическое исследование на портативном тепловизоре «InfiRay» с последующим дуплексным сканированием (ДС) вен нижних конечностей.
Результаты. У всех пациентов выявлены зоны температурных аномалий, коррелирующие с данными ДС. При варикозной болезни отмечалась гипертермия +1,5-3,0°C по ходу несостоятельных вен. В зонах трофических нарушений температурный градиент составил +2,1±0,4°C. Выявлены различные температурные паттерны (характерное пространственное распределение температур на поверхности кожи пациентов) трофических язв.
Заключение. Портативная термография демонстрирует возможность визуализации температурных аномалий при ХЗВ и может рассматриваться как дополнительный скрининговый метод на первичном приеме. Метод не заменяет дуплексное сканирование при планировании лечения и требует дальнейшей валидации.
Цель. Оценка эффективности программы санаторно-курортного восстановительного лечения астенического синдрома у женщин – медицинских работников с биологически активным микронутриентом «Пантовитал плюс оригинальный».
Материалы и методы. В исследование включались 46 женщин – медицинских работников с астеническим синдромом в возрасте от 28 до 67 лет (средний возраст 49,2±4,2 года). Пациентки были рандомизированы в соответствии с методами лечения на 2 группы: основную и группу сравнения (по 23 человека в каждой). В обеих группах проводилось базовое санаторно-курортное восстановительное лечение в течение 12 дней, включающее диетотерапию, щадяще-тренирующий двигательный режим, групповые занятия лечебной физкультурой, терренкур, транскраниальную электронейростимуляцию, фитопаросауну. Пациенткам основной группы дополнительно к базовой программе назначали биологически активный микронутриент «Пантовитал плюс оригинальный». После завершения санаторно-курортного восстановительного лечения пациентки основной группы продолжали принимать БАД амбулаторно, общей длительностью до 18 дней.
Результаты. По завершении программы санаторно-курортного восстановительного лечения, включающей «Пантовитал плюс оригинальный», наблюдалось достоверное снижение физического и психического компонентов астении, повышение «Сниженной мотивации» по субшкалам опросника «MFI-20». Наблюдалась нормализация вегетативного статуса и психоэмоционального состояния, существенно меньше стало пациенток с нарушением сна. Качество жизни было достоверно выше в основной группе по завершении программы лечения. Через 30 дней после санаторно-курортного восстановительного лечения результаты наблюдения продемонстрировали статистически более значимые показатели в основной группе.
Заключение. Назначение БАД «Пантовитал плюс оригинальный» в комплексной программе восстановительного лечения пациенток с астеническим синдромом, включающей санаторно-курортный этап с последующим применением амбулаторно, показало его благоприятное влияние на нормализацию основных проявлений астении в виде снижения физической и психической истощаемости, повышения мотивации, уменьшения вегетативных расстройств и нарушений сна, снижения уровня тревожности и существенного повышения качества жизни по окончании программы лечения.
Актуальность. Контролируемая кратковременная гипобарическая гипоксия инициирует ряд адаптивных механизмов, вовлекающих внутриклеточные сигнальные пути и гормональные механизмы. Данная адаптационная перестройка ведет к увеличению работоспособности, что может быть использовано при гипоксических тренировках.
Цель исследования. Оценка влияния кратковременной гипобарической гипоксии на уровень физической работоспособности у лабораторных животных.
Материалы и методы. Кратковременную гипобарическую гипоксию моделировали путем ежедневного помещения животных (мыши-самцы С57BL/6) в гипобарическую барокамеру с разреженным воздухом (насыщение кислородом 14%, что соответствует высоте 4000 м над уровнем моря) на 60, 120, 180, 240 и 300 сек. Уровень работоспособности животных определяли в тесте «принудительное плавание» с 20% отягощением на 7, 14 и 21 день эксперимента. На 22 сутки оценивали насыщение крови кислородом, концентрацию эритропоэтина в крови и содержание HIF-1α в супернатанте мышечной ткани. Оптимальную продолжительность гипоксии определяли по максимальной сумме соответствующих рангов, следуя биостатистическим рекомендациям SAMPL.
Результаты. При моделировании кратковременной гипоксии максимальный уровень физической работоспособности наблюдался на 14 день. Шестидесятисекундная гипобарическая гипоксия способствовала увеличению содержания HIF-1α на 67,9% (p<0,05), не влияя на насыщение крови кислородом и содержание эритропоэтина. Гипоксия продолжительностью 120–300 сек. приводила к повышению (p<0,05) концентрации HIF-1α в мышечной ткани, насыщения крови кислородом и содержания эритропоэтина. При этом показано, что максимальная сумма рангов была зафиксирована в случае моделирования гипобарической гипоксии продолжительностью 120 сек., которая составила 2037.
Заключение. Наиболее оптимальной продолжительностью гипобарической гипоксии, которая способствует увеличению физической работоспособности у лабораторных животных, можно считать 120 сек. Данная модель гипоксии может быть использована при доклинических исследованиях в процессе экспериментального моделирования гипоксических тренировок.
Введение. Уратный нефролитиаз – распространенная форма мочекаменной болезни, склонная к возникновению рецидивов, в связи с чем создание новых фармакологических средств для метафилактики указанной патологии является актуальной научной задачей. При этом повышенное внимание традиционно уделяется биогенным средствам, сочетающим в себе высокую эффективность с низкой частотой возникновения побочных эффектов. В ФГБОУ ВО АГМУ Минздрава России были разработаны 3 композиции природного происхождения с потенциальным антилитогенным действием, для подтверждения которого необходимо провести экспериментальную апробацию.
Цель работы. Апробация природных композиций в условиях экспериментального уратного нефролитиаза.
Материалы и методы. В качестве биологической системы использовали самцов крыс сток Вистар. Уратный нефролитиаз моделировали 3 недели введением мочевой и оксониевой кислоты. Исследовали 3 композиции природного происхождения, которые вводили внутрижелудочно в дозе 101 мг/кг (11-21 дни исследования). В моче определяли активность лактатдегидрогеназы, γ-глутамилтранспептидазы, а также их соотношения. Проводили патоморфологическое исследование почек с определением числа случаев развития нефролитиаза, гистологической картины почечной ткани, а также количества и площади уратных депозитов.
Результаты. При применении композиции природного происхождения-1 и -2 нефролитиаз выявлялся в 30% случаев, композиции природного происхождения-3 – в 10% случаев, в то время как в контроле заболевания – в 67% случаев. Отношение активности лактатдегидрогеназы к активности γ-глутамилтранспептидазы в моче к концу эксперимента при введении композиции природного происхождения-3 статистически значимо снижалось относительно контроля заболевания в 4,2 раза.
Заключение. Выявлено, что при введении всех исследуемых композиций природного происхождения происходит ослабление течения экспериментального уратного нефролитиаза, наиболее выраженное при введении композиции природного происхождения-3.
Факторы риска во время беременности, воздействуя на внутриутробное развитие плода, способны оказать негативное влияние на органы и системы организма, влияя на развитие наружных половых органов женского пола. Воздействие многочисленных факторов риска на организм различно, как и разнообразно их влияние на организм плода в целом.
Цель исследования. Выявление факторов риска, способствующих развитию аномалий строения наружных половых органов у девочек.
Материал и методы. Проведено проспективное обследование 66 новорожденных девочек от доношенной и недоношенной беременности с оценкой строения наружных половых органов модифицированным тестом Barlow с разведением тазобедренного сустава в стороны.
Результаты. Клиническое обследование новорожденных девочек с проведением теста Barlow выявило: нормальное строение наружных половых органов у 23(34,8%), недоразвитие I степени у 13(19,7%), II степени у 12(18,1%) и III степени у 18(27,2%).
Заключение. Неблагоприятные факторы риска способны оказать негативное влияние на развитие наружных половых органов, вызывая аномалии строения различной степени.
Введение. По данным современной литературы, хронический пиелонефрит часто сопровождает женщин фертильного возраста, манифестируя себя рецидивирующим циститом. До 6% случаев беременность сопровождается хроническим пиелонефритом в фазе активного воспаления, но расценивается как острый гестационный пиелонефрит.
Цель исследования: определить пути снижения частоты острого гестационного пиелонефрита и его хирургической коррекции.
Материалы и методы. За период с 2018-2022 гг. в отделение неотложной урологии госпитализировано 748 женщин фертильного возраста с острым пиелонефритом, из них 151 – с острым гестационным пиелонефритом, среди которых 92% находились во втором и третьем триместрах беременности. Проведено клиническое, лабораторное, бактериологическое, ультразвуковое и/или магнитно-резонансное исследования.
Результаты. С острым пиелонефритом оперировано 19,5% пациенток, с острым гестационным пиелонефритом – 21,2%. Уже на 3-4 сутки после операции показатели интоксикации возвращались к близкому к норме значению, а в течение 5-7 суток – к норме. Всем пациенткам был подтвержден гнойно-деструктивный процесс, выполнялось восстановление пассажа мочи стентированием, проводилась интенсивная медикаментозная терапия с учетом клинических рекомендаций.
Заключение. После 7-9 суток клинического течения инфекционно-воспалительного процесса в 20% случаев обнаруживаются апостематозный пиелонефрит и его сочетание с абсцессом почки, множественные субтотальные и сливные карбункулы. Следует расценивать настоящее заболевание как входящее в группу риска по хирургическому лечению, что требует срочной госпитализации в случае малейшего сомнения в благоприятном исходе амбулаторного медикаментозного лечения. Это и является гарантией благополучного исхода для жизненно важного органа.
Цель. Оценить влияние регулярной физической активности на уровень гликированного гемоглобина (HbA1c), инсулиноподобного фактора роста-1 (ИФР-1) и соматотропного гормона (СТГ) у детей с сахарным диабетом 1 типа (СД1).
Материалы и методы. Исследование выполнено на базе Национального центра охраны материнства и детства Кыргызской Республики, г. Бишкек. В исследование включено 250 детей с СД1, разделенных на две группы в зависимости от наличия регулярной физической активности (ФА). Для выявления различий между группами использовался однофакторный дисперсионный анализ (ANOVA) по уровням HbA1c, ИФР-1 и СТГ. Также проведен линейный регрессионный анализ для оценки влияния ФА на указанные показатели. Дополнительно определен вклад HbA1c как предиктора наличия ФА с помощью логистической регрессии.
Результаты. Регулярную ФА имели только 26% детей. Дети с ФА были достоверно старше и имели большую длительность заболевания, а также более высокий рост и массу тела при одинаковом ИМТ. Уровень ИФР‑1 был выше в группе с ФА (p=0,041), что может свидетельствовать об активации оси гипофиз-печень под влиянием физической нагрузки. Различий в уровне СТГ не выявлено (p=0,742). Вопреки ожиданиям, у детей с ФА уровень HbA1c оказался выше. Это может быть связано с назначением ФА детям с худшим контролем гликемии. Также выявлена слабая положительная корреляция между возрастом и HbA1c (r=0,160; p=0,011), и между возрастом манифестации и HbA1c (r=0,260; p<0,001), а также отрицательная – между длительностью заболевания и HbA1c (r=-0,151; p=0,017).
Заключение. Физическая активность у детей с СД1 ассоциируется с более высоким уровнем ИФР-1 и может отражать лучшее физическое развитие, однако не является универсальным методом снижения HbA1c. Необходим индивидуальный подход к терапии и самоконтроль гликемии.
Барьерные функции мочевого пузыря являются ключевым звеном, обеспечивающим защиту мочевого пузыря от агрессивных компонентов мочи и инфекции. На сегодняшний день состояние мочетканевого барьера, методы его визуализации и совершенствование данных методик являются одним из важнейших вопросов современной урологии и нефрологии. Усовершенствовать оценку нарушений мочетканевого барьера позволяет 3D-анатомическое моделирование с наложением данных, полученных при смотровой цистоскопии, и 3D-реконструкция ультраструктур стенки мочевого пузыря в едином блоке по данным сканирующей электронной микроскопии с увеличением в 6000 раз в сочетании с оценкой результатов ПЭТ/КТ с 11С-холином. Применение оригинальной программы для ЭВМ с элементами цистоскопической и ультраструктурной 3D-реконструкции стенки мочевого пузыря по данным ПЭТ/КТ всего тела с 11С-холином, сканирующей электронной микроскопии с увеличением в 6000 тысяч раз и смотровой цистоскопии, дает возможность врачам-урологам, не имеющим специальной подготовки в области электронной микроскопии, 3D-реконструктивных технологий и ядерных исследований, оценить состояние барьерной функции стенки мочевого пузыря. Технические характеристики программы позволяют по цифровому показателю стандартизированного уровня захвата меченых молекул 11С-холином (SUVmax в у. е.) в стенке мочевого пузыря оценить вероятность нарушения мочетканевого барьера, как одной из ключевых причин реализации и рецидивирования хронического воспаления мочевого пузыря. Комбинированная многокомпонентная оценка состояния мочетканевого барьера по данным ПЭТ/КТ, смотровой цистоскопии и сканирующей электронной микроскопии с элементами 3D-реконструктивных технологий отвечает всем современным стандартам.
Последствия перинатальных гипоксических поражений головного мозга варьируют от незначительных минимальных проявлений, купирующихся к 1 году жизни, до тяжелых органических поражений с тяжелыми неврологическими расстройствами вплоть до летального исхода. Заболевания центральной нервной системы нарушают социальную адаптацию детей и снижают качество жизни, в том числе и взрослого человека. В связи с этим остается актуальным поиск методов ранней диагностики для предотвращения тяжелых неврологических исходов.
Цель исследования. Оценка эффективности нейросетевого анализа данных в диагностике структурных изменений головного мозга у детей одного года жизни.
Материалы и методы. В исследование включено 45 доношенных детей одного года жизни. Дети были разделены на 2 группы: 1 группа – дети одного года жизни без структурно-функциональных изменений головного мозга, 2 группа – дети одного года жизни со структурно-функциональными изменениями головного мозга по данным нейросонографии и компьютерной томографии. Статистический анализ проведен с помощью программы «IBM SPSS Statistics Version 25.0». Для создания технологии ранней диагностики был использован нейросетевой анализ, диагностическая ценность которого определялась путем применения ROC-анализа.
Результаты. В структуру обучаемой нейронной сети были включены 3 входных нейрона, отражающие уровень значимых параметров: трансформирующего ростового фактора бета β1, антител в сыворотке крови к белку NR2 и сумму баллов по шкале Л. Т. Журба и соавторов. Полученная нейросеть обладает высокой чувствительностью и специфичностью, точность прогнозирования составляет 86,7%. Заключение. Технология нейросетевого анализа данных, основанная на пополняемой базе данных, представляется удобным решением для практического здравоохранения и позволяет быстро и эффективно выявить группу риска поражений ЦНС в раннем возрасте.
Парентеральные вирусные гепатиты (ПВГ) характеризуются высокой социально-экономической и медицинской значимостью, что обусловлено высокой заболеваемостью, поражением лиц трудоспособного возраста, широким спектром клинических форм, возможностью развития осложнений, склонностью к малигнизации и хронизации процесса, продолжительностью лечения, высокой стоимостью диагностических, терапевтических и санитарно-противоэпидемических мероприятий. Высокая распространенность ПВГ обусловлена элементами социального развития: состоянием системы здравоохранения, уровнем гигиенической грамотности населения, поведенческими рисками и иными социальными факторами. Основой стратегического плана мероприятий ВОЗ по борьбе с ПВГ является своевременное выявление пациентов (прежде всего со стертыми и субклиническими формами), тестирование, доступное лечение и вакцинация.
Цель исследования. Оценка влияния стратегий эпидемиологического слежения и профилактики на проявления эпидемического процесса вирусного гепатита В (ВГВ) в Республике Беларусь.
Материалы и методы. Материалом исследования послужили демографические показатели и данные официальной регистрации заболеваемости ПВГ в Республике Беларусь в интервале с 1965 по 2024 годы, данные пациентов с установленным диагнозом: «острый вирусный гепатит В», «хронический вирусный гепатит В», «носительство возбудителя вирусного гепатита В». Проведено сплошное продольное динамическое аналитическое исследование, использованы методические приемы ретроспективного эпидемиологического анализа, описательно-оценочные, прогностические и статистические методы исследования.
Результаты. Установлены особенности проявлений и механизмов формирования заболеваемости различными формами ВГВ в Беларуси, показана роль вакцинопрофилактики ВГВ в управлении эпидемическим процессом. С 2020 года в стране наблюдается спорадическая заболеваемость острыми формами ВГВ, показатели заболеваемости не превышают 0,5о/оооо (0,23-0,43о/оооо), что свидетельствует о минимальном риске инфицирования и достижении уровня контроля над инфекцией. Заболеваемость хроническим ВГВ в Республике Беларусь характеризовалась тенденцией к росту и значительно доминировала над заболеваемостью острыми формами: кратность превышения в отдельные годы составила 10 и более раз. Рост заболеваемости хроническим ВГВ сопряжен со снижением частоты носительства возбудителя ВГВ, что связано с изменением методов клинико-лабораторной диагностики парентеральных гепатитов в Беларуси. Первичная заболеваемость всеми формами ВГВ в Республике Беларусь с 2002 по 2024 гг. характеризовалась выраженной тенденцией к снижению со средним темпом прироста 7,3%. В 2024 году зарегистрировано 11,06 случаев ВГВ на 100 000 населения, что в 3 раза ниже заболеваемости 2002 года.
Заключение. Заболеваемость острой формой ВГВ отражает риск инфицирования в популяции и является индикатором активности эпидемического процесса. Экспоненциальная тенденция к снижению заболеваемости острым ВГВ и низкие уровни заболеваемости острым ВГВ свидетельствуют о благополучной эпидемической ситуации в республике в настоящее время и высокой эффективности проводимых в стране санитарно-противоэпидемических мероприятий, прежде всего вакцинации. В настоящее время изменения уровней заболеваемости хроническими формами гепатита В (хронический ВГВ и носительство вируса гепатита В) отражают в большей степени объем и качество клинико-лабораторной диагностики ВГВ, чем эпидемическую ситуацию в стране
Актуальность. Современные исследования в области психиатрии и наркологии демонстрируют возрастающее внимание к проблеме коморбидности психических расстройств и химических зависимостей у детей и подростков. Клиническая типология таких нарушений подчеркивает необходимость системного подхода к ранней диагностике, учитывающего взаимосвязь расстройств.
Цель. Классификация и описание психических расстройств, коморбидных с химическими аддикциями, наблюдаемых у детей и подростков в условиях стационара.
Материалы и методы. Обследовано 252 ребенка с психическими расстройствами, коморбидными с химическими аддикциями, средний возраст 14,5±2,5 лет (от 10 до 17 лет), среди которых 112 мальчиков и 140 девочек. Зависимости: F10.2xx – 126; F15.2xx – 75; F12.2xx – 42; F11.2xx – (не указано количество). Психические расстройства: F07.8x – 71; F91.1 – 61; F91.2 – 69; F23.2xx – 17; F32. xx – 23; F7x. xxx – 11. В исследовании использовались анамнестический, катамнестический, клинико-психопатологический с опорой на МКБ-10 (ICD-10), статистический (Python 3.12.5) методы.
Результаты. Выявлены факторы риска аддиктивного поведения: подростковый возраст, неблагоприятные условия семейного воспитания (реже интернатов), низкий уровень образования, отсутствие стабильной занятости, проблемы с обучением и социальной адаптацией. Коморбидность химических аддикций с психическими расстройствами формирует полиморфную экзогенно-органическую симптоматику, включая нарушения сна, эмоциональную неустойчивость, импульсивность, когнитивные дефициты, огрубение характера по органическому типу, а также антисоциальные, девиантные и созависимые паттерны поведения. Химические аддикции искажают психические расстройства в зависимости от веществ: алкоголь усиливает тревожно-депрессивную симптоматику и затрудняет обучаемость; психостимуляторы – тревогу с гневливостью, гиперактивность, сексуальную расторможенность, идеи преследования и обманы восприятия; каннабиноиды – тревожно-депрессивные проявления с шизофреноподобными эмоционально-волевыми нарушениями, персекуторными идеями и сенестопатиями; опиоиды – тоскливо-злобное настроение, шизофреноподобные дефекты воли и суицидальный риск. Аддикция усугубляет течение эндогенных психозов, повышая прогредиентность, удлиняя экзацербации и сокращая ремиссии.
Заключение. Факторами риска развития аддикций у детей с психическими расстройствами являются подростковый возраст, неблагоприятное воспитание, низкое образование, отсутствие занятости и проблемы адаптации. Коморбидное наркологическое расстройство искажает клиническую динамику и феноменологию психических расстройств, привнося экзогенно-органические стигматизирующие симптомы, углубляющие экзацербации и органические проявления.
Статистика статьи
Статистика просмотров за 2026 год.
Издательство
- Издательство
- ФГБОУ ВО АГМУ МИНЗДРАВА РОССИИ
- Регион
- Россия, Барнаул
- Почтовый адрес
- 656038, Алтайский край, г Барнаул, Центральный р-н, пр-кт Ленина, д 40
- Юр. адрес
- 656038, Алтайский край, г Барнаул, Центральный р-н, пр-кт Ленина, д 40
- ФИО
- Шереметьева Ирина Игоревна (РЕКТОР)
- E-mail адрес
- priem@asmu.ru
- Контактный телефон
- +7 (385) 2757900
- Сайт
- https://asmu.ru/